
As dentists the pursuit of precision and patient satisfaction is paramount, since the digital revolution, intraoral imaging technology has played a pivotal role in that equation, influencing both diagnostic confidence and treatment success.
The NewTom DCiS is the first intraoral sensor on the market to integrate direct conversion technology.
But what does that mean for you, and why should it matter?
Learn more and make sure your practice stays competitive.
Traditional intraoral sensors rely on scintillators to convert X-rays into visible light before being captured by the sensor. While effective, this multi-step process can introduce noise and diminish image quality.
Direct conversion technology in the NewTom DCiS works differently:
For dentists, this isn’t just about technology; it’s about empowering your clinical judgment. With the NewTom DCiS you can diagnose with confidence on the first scan, minimise repeat exposures, and focus on the best outcomes for your patients.


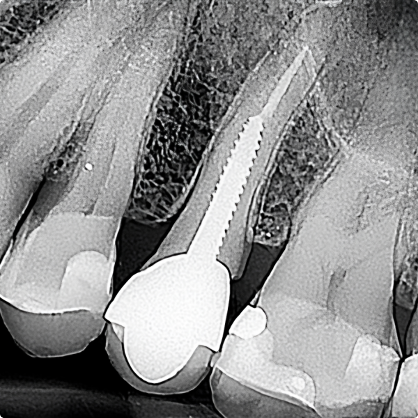
Clear, high-contrast images aren’t just a convenience - they’re essential. Every detail captured by the NewTom DCiS can make the difference between a timely intervention and a missed complication.
Can you afford to keep working without:
This technology doesn’t just improve images; it improves outcomes. By providing you with this level of detail, you have the tools you need to create tailored treatment plans that work for every individual case.
To create a completely harmonious workflow that maximises diagnostic precision, combine the NewTom DCiS with the NewTom RX-DC X-ray unit. With its high-frequency constant potential generator and ultra-small focal spot, the RX-DC ensures every image captured is of exceptional quality.
Why this combination excels:


Combining the NewTom DCiS with Second Opinion AI empowers dental professionals with a powerful ally for diagnosis. By analysing images with advanced algorithms, the AI adds another layer of assurance, identifying key dental conditions and enhancing image quality.
Why this integration is invaluable:
These advanced technologies amplify the capabilities of the NewTom DCiS, creating a comprehensive ecosystem designed to meet the demands of modern dental practices.
