X-ray imaging is the taking of X-rays of the mouth to generate images of the tooth and bone structure, soft tissue and nerve paths underneath the gums. Digital X-rays are taken by machines which have a digital image sensor which captures the X-ray and displays them on a digital screen. They are fast replacing traditional film X-rays due to the lower doses of radiation required and the impressive level of detail which can be achieved with digital technology.
There are two types of digital X-rays commonly used in dentistry, 2D digital X-rays and 3D X-rays. Traditionally in an effort to keep radiation doses as low as reasonably achievable and because 3D X-rays have until now required much larger doses of radiation, 2D digital X-rays have been widely used.
However, the technology behind Cone Beam Computed Tomography (CBCT) scanners, which are used to take 3D digital X-rays, has improved markedly recently and it is now possible to take extremely clear and detailed images at very low doses of radiation.

There are many factors to consider before investing in a digital X-ray machine. All of the following are recommended criteria:

;)
Get a complete set of panoramic exams fast for optimal patient diagnosis
;)
Get a complete set of panoramic exams fast for optimal patient diagnosis
;)
Wide choice of examination options enable a broad scope for diagnostics
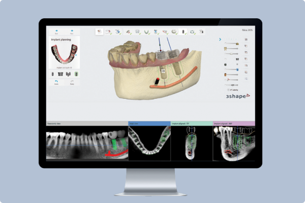
Digital impressions and digital X-rays both deliver extraordinary accuracy and clarity and have revolutionised impression and X-ray taking respectively. But what happens when the two are combined?
CADCAM software can merge the surface scan from a digital impression with a 3D digital X-ray to give the clinician a complete picture of the oral situation above and below the gum line. This is invaluable for some areas of dentistry in particular and also for communication both with the patient and within the dental team.





